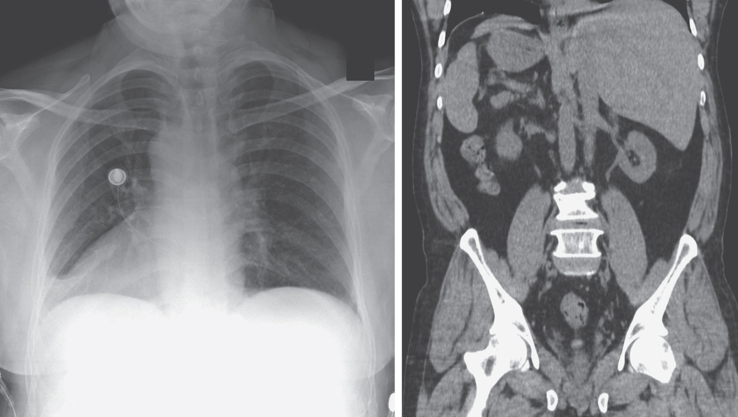
A 66-year-old man presented to the emergency department with a 3-day history of cough, congestion, and pain in his chest and on the left side of his abdomen. What is the abnormality noted incidentally on chest radiograph and computed tomography of the abdomen?
Tuberculosis
Sinus solitus
Lymphoma
Situs inversus totalis
Sarcoidosis
SUBMIT
See how others chose

Tuberculosis
Sinus solitus
Lymphoma
Situs inversus totalis
Sarcoidosis
SUBMIT
See how others chose
 
 
Δεν υπάρχουν σχόλια:
Δημοσίευση σχολίου